九游(NINEGAME)娱乐股份有限公司-官方网站

Neuron|肠道神经如何向大脑喊疼?倪金飞段树民唐逸泉团队揭示小鼠内感受和内脏痛的肠-背根神经节通路
发布日期:2026-02-02 19:45:49 浏览次数:

  当我们吃了辛辣食物或腹部发炎时,常会感到腹痛、腹部不适,这种内脏的疼痛感其实是器官与大脑之间的信号沟通在发挥作用。就像身体里有一套专属通讯网络,肠道作为重要的内脏器官,其感受到的刺激需要通过特定神经通路传递给大脑,才能让我们感知到不适。而这篇研究就找到了这套网络中关键的信号桥梁—— 肠道神经元与背根神经节(DRG)之间的通讯通路,揭秘了内脏疼痛背后的神经机制。

Neuron|肠道神经如何向大脑喊疼?倪金飞段树民唐逸泉团队揭示小鼠内感受和内脏痛的肠-背根神经节通路(图1)

  来自 复旦大学唐逸泉/倪金飞教授和浙江大学段树民教授研究团队做了一项专门研究,标题为《An enteric-DRG pathway for interoception and visceral pain in mice》,相关成果于2026年1月7日发表在《Neuron》期刊上。 本研究以小鼠为模型,借助多种精准神经调控和检测技术,发现肠道胆碱能神经元与背根神经节(DRG)形成功能性通讯通路,介导非厌恶性内脏反射,不同 DRG 亚型功能存在差异,而结肠炎会重塑该通路功能,使其转化为厌恶性疼痛信号且持续存在,揭示了内脏感知与炎症相关性疼痛的神经机制,为相关疾病治疗提供新方向。

Neuron|肠道神经如何向大脑喊疼?倪金飞段树民唐逸泉团队揭示小鼠内感受和内脏痛的肠-背根神经节通路(图2)

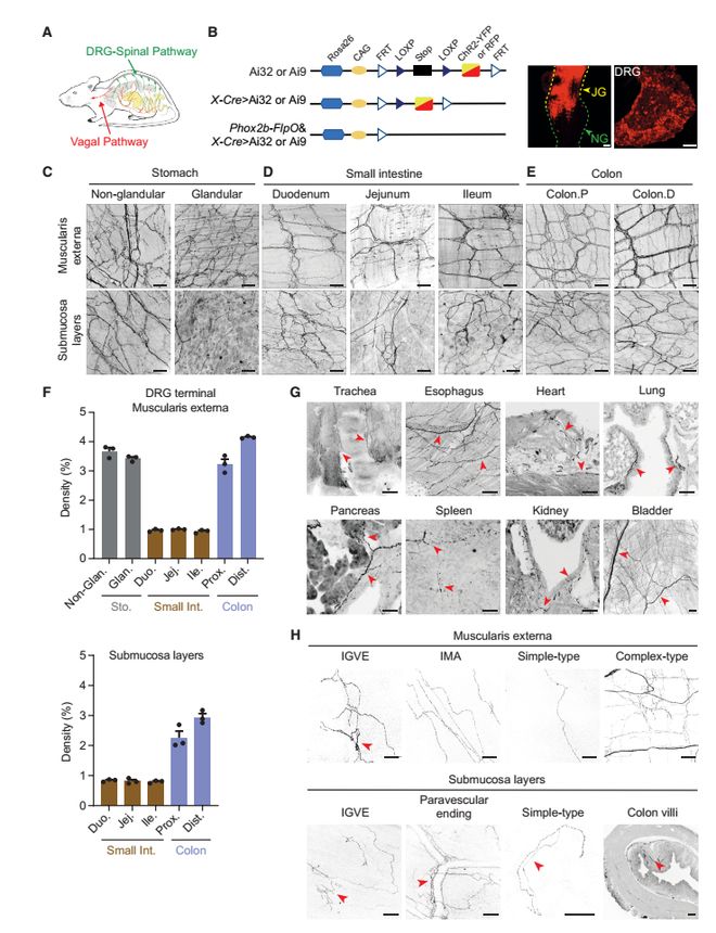
  研究通过交叉遗传学标记技术,特异性标记 DRG 来源的神经末梢,发现 DRG 感觉神经元在小鼠胃肠道(从胃到远端结肠)及气管、心脏、肾脏等多个内脏器官中九游app均有广泛分布。胃肠道的肌层和黏膜下层是 DRG 神经末梢的主要分布区域,其中结肠和胃的 DRG 神经末梢密度显著高于小肠。在结肠内,DRG 神经末梢形成多种形态特征明确的末端结构,如神经节内曲张末梢(IGVE)、肌内阵列(IMA)等,这些结构能响应结肠的机械扩张刺激。同时,通过与迷走神经通路的对比发现,迷走神经末梢在胃中富集,而 DRG 神经末梢在结肠黏膜下层的分布密度高于肌层,两者在胃肠道的分布特点互补,共同构成内脏感知的神经基础。

  脑声常谈建立了多个《动物模型构建与行为评估》交流群,群内分享各种经典和前沿的行为范式,共同交流解决动物实验中遇到的棘手问题,避坑少走弯路!有需要的老师可以扫码添加微信进入讨论群!

Neuron|肠道神经如何向大脑喊疼?倪金飞段树民唐逸泉团队揭示小鼠内感受和内脏痛的肠-背根神经节通路(图3)

  借助光遗传学激活技术,将光纤植入小鼠远端结肠,选择性激活结肠支配的 DRG 神经元,观察到小鼠出现典型的 “弓背” 行为和腹部肌肉肌电图(EMG)信号增强,这些都是内脏疼痛相关的行为和生理反应。通过台阶回避实验进一步验证,激活 DRG 神经元会让小鼠产生厌恶感,表现为在高架平台上的停留时间显著延长,以此躲避结肠部位的刺激。此外,研究还发现不同亚型的 DRG 神经元(Trpv1⁺、Piezo2⁺、Cysltr2⁺)激活后引发的行为反应存在差异:Trpv1⁺ DRG 神经元激活会产生强烈厌恶感,Piezo2⁺ DRG 神经元激活会引发弓背和肢体伸展反应但无明显厌恶感,Cysltr2⁺ DRG 神经元激活的厌恶感较弱,表明 DRG 亚型在内脏疼痛信号传递中具有功能特异性。

Neuron|肠道神经如何向大脑喊疼?倪金飞段树民唐逸泉团队揭示小鼠内感受和内脏痛的肠-背根神经节通路(图4)

  研究发现结肠 DRG 神经末梢与肠道神经元形成紧密关联的神经节内曲张末梢结构,提示两者存在功能连接。通过局部 AAV 病毒注射技术,在结肠肠道神经元中特异性表达光敏感通道 ChR2,光遗传学激活后,小鼠出现弓背和 EMG 信号增强等伤害性反射,但无明显厌恶感,且这一反应不受结肠蠕动变化的影响。进一步实验证实,胆碱能肠道神经元(Chat⁺)是引发该反应的关键亚型,其释放的乙酰胆碱(ACh)是重要的信号分子,而Vip⁺能肠道神经元激活无此效应。通过化学遗传学抑制技术和 DRG 伤害性神经元消融实验(树脂毒素 RTX 处理),证明肠道神经元引发的伤害性反射依赖 DRG - 脊髓通路的激活,且肠道内初级传入神经元(IPANs)的特定亚型(Glp1r⁺、Cysltr2⁺)也参与该反射的调控。

Neuron|肠道神经如何向大脑喊疼?倪金飞段树民唐逸泉团队揭示小鼠内感受和内脏痛的肠-背根神经节通路(图5)

  采用葡聚糖硫酸钠(DSS)诱导结肠炎模型,在结肠炎急性期和恢复期分别进行台阶回避实验。结果显示,生理状态下肠道神经元激活不会引发厌恶感,但结肠炎急性期,肠道神经元激活会使小鼠产生显著厌恶反应,且这一效应在炎症恢复后依然持续。进一步研究发现,结肠炎仅选择性增强胆碱能肠道神经元(Chat⁺)介导的厌恶反应,而 Piezo2⁺肠道神经元激活仍未引发厌恶感,表明炎症通过重塑肠道 - DRG 通路的功能特性,将原本非厌恶性的信号转化为厌恶性疼痛信号,且这种重塑具有亚型特异性和长期性。

Neuron|肠道神经如何向大脑喊疼?倪金飞段树民唐逸泉团队揭示小鼠内感受和内脏痛的肠-背根神经节通路(图6)

  该研究通过交叉遗传学、光遗传学、化学遗传学等多种技术手段,系统揭示了小鼠肠道神经元与背根神经节(DRG)之间存在功能性通讯通路,胆碱能肠道神经元通过释放乙酰胆碱,经 DRG - 脊髓通路介导非厌恶性伤害性反射;不同 DRG 亚型在肠道刺激感知中具有功能特异性,而结肠炎会诱导该通路发生功能可塑性变化,将非厌恶性信号转化为厌恶性疼痛信号,且这种重塑在炎症恢复后仍持续存在,该发现拓展了对内脏感觉神经机制的理解,为炎症相关性内脏疼痛的发病机制和治疗靶点提供了新的理论依据。

Neuron|肠道神经如何向大脑喊疼?倪金飞段树民唐逸泉团队揭示小鼠内感受和内脏痛的肠-背根神经节通路(图7)

  理论意义:首次明确肠道神经元与 DRG 之间的功能性通讯通路,揭示了内脏感知的间接神经通路(肠道神经元 - DRG - 脊髓),补充了传统认为 DRG 直接感知内脏信号的认知,明确了不同神经亚型的功能特异性及炎症诱导的通路可塑性机制,丰富了内脏感觉神经生物学的理论体系。

  应用意义:针对炎症相关性内脏疼痛(如炎症性肠病伴随的慢性疼痛),发现肠道 - DRG 通路的功能重塑是关键机制,且胆碱能肠道神经元和特定 DRG 亚型可作为潜在治疗靶点,为开发精准、长效的内脏疼痛治疗药物或神经调控疗法提供了新的靶点和思路,有望改善这类慢性疼痛的治疗现状。

  脑声小店基于深度科研洞察,专注为动物实验提供简器械·精实验解决方案。我们突破高精设备局限,开发手工定制化仪器及配件,通过科研巧思将基础工具转化为创新实验方案。产品涵盖行为学装置、操作辅助工具等,使实验室在保持操作简效的同时,实现精细化数据采集,助力科研人员以创造性思维发掘简易仪器的潜在科研价值。