九游(NINEGAME)娱乐股份有限公司-官方网站

Neuron丨从光到行为:解密前额叶与丘脑的“电流对话”
发布日期:2025-07-15 13:22:01 浏览次数:

  感觉皮层的皮层丘脑投射对中继核的兴奋较弱且持续时间长,这与个体感觉传入控制发放不同。在清醒动物中,感觉皮层第6层的神经元发放率低,这表明它们在调节丘脑靶细胞上的作用。相比之下,包括内侧前额叶皮层(medial prefrontal cortex, mPFC)在内的联络皮层区域的皮层丘脑投射,对高级丘脑区域(如背侧中线丘脑dorsal midline thalamus)施加较强的自上而下控制,这部分由于缺乏来自感觉外围的主导性突触输入。尽管第6层感觉皮层丘脑神经元(layer 6 sensory corticothalamic neurons)大多沉默或表现出低自发活动以改变丘脑神经元的发放率,但前边缘皮质(prelimbic, PL)神经元的活动对背侧中线丘脑的室旁核(paraventricular thalamic nucleus, PVT)神经元活动有显著影响。近年来的行为研究表明,通过光遗传学沉默PL-PVT投射可以减少大量PVT细胞的发放率,且发现PL到PVT神经元的谷氨酸能投射对控制认知过程、决策和目标导向反应是必需且足够的。然而,目前尚未探究直接连接联络皮层到高级丘脑区域或通过丘脑网状核(thalamic reticular nucleus, TRN)中的GABA能神经元间接连接的皮层丘脑通路的功能特性,如何调节丘脑神经元的发放率以控制动机行为。

Neuron丨从光到行为:解密前额叶与丘脑的“电流对话”(图1)

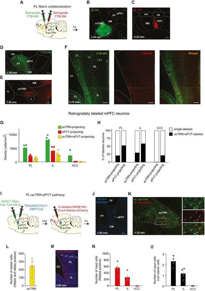
  为了阐明PL与PVT之间的皮层丘脑回路,研究人员进行了逆行示踪实验retrograde tracing experiments。首先,他们将结合绿色(Alexa Fluor 488)和红色(Alexa Fluor 594)荧光标记的霍乱毒素B(cholera toxin B, CTB)示踪剂分别注射到丘脑网状核前腹部(anteroventral portion of the TRN, avTRN)和前室旁核(anterior PVT, aPVT)。七天后,观察到前丘脑核及其他中线丘脑核中有绿色标记的逆行标记神经元,红色标记的逆行标记神经元则出现在avTRN,证实了avTRN和aPVT区域的互相连接。在mPFC中,深层神经元被标记为绿色(投射至avTRN)、红色(投射至aPVT)或两者(同时投射至avTRN和aPVT),结果发现约20%的投射至avTRN的PL神经元也向aPVT发送侧枝,而约60%投射至aPVT的神经元也发送侧枝至avTRN。研究人员进一步通过交叉逆行病毒示踪法检查了接收PL单突触输入的avTRN神经元是否直接投射至aPVT,结果表明avTRN神经元主要从PL第6层神经元接收直接输入,而第5层的标记较稀疏。总而言之,PL第6层神经元既可以通过单突触也可以通过双突触途径通过avTRN神经元连接aPVT,类似于其他丘脑区域的皮层丘脑回路。

Neuron丨从光到行为:解密前额叶与丘脑的“电流对话”(图2)

  为了研究PL对aPVT神经元的直接和间接投射是否支配同一组神经元,研究人员结合病毒示踪和电生理记录技术开展了实验。研究人员首先在PL中注射病毒载体,使Cre重组酶在突触前传播至avTRN和aPVT神经元;然后在avTRN中注射Cre依赖性病毒,使光激活的通道视紫红质ChR2在PL支配的avTRN神经元中表达,并在aPVT中注射Cre依赖性病毒,使荧光报告基因在PL直接靶向的aPVT神经元中表达。经过8周的病毒表达后,通过全细胞记录发现,光照射avTRN输入能引发可靠的抑制性突触后电流(inhibitory postsynaptic currents, IPSCs),其幅度与未标记的aPVT神经元相似,表明其突触强度相等。这些结果说明同一组aPVT神经元同时接受来自PL的单突触支配和通过avTRN的双突触抑制。

Neuron丨从光到行为:解密前额叶与丘脑的“电流对话”(图3)

  为了表征aPVT细胞的发放特性,研究人员对急性aPVT切片进行了全细胞记录,发现了两类aPVT神经元:一种在大电流注入(如500 pA)期间显示高频动作电位但幅度迅速减弱,导致一种长时间的沉默状态,称为去极化阻滞(depolarization block, DB);另一种则在刺激期间显示高频发放(150 Hz),但动作电位的衰减较少,根据动作电位幅度减小情况,可以将aPVT神经元分类为DB和非DB细胞。虽然这两类神经元在开始时发放频率相似,但随着去极化电流强度增加,DB神经元的发放频率显著降低。DB细胞显示较慢的动作电位上升时间和更大的峰宽,表明钠离子通道表达较低。进一步的实验表明,aPVT神经元的发放模式与其投射目标有关:投射至伏隔核NAc的aPVT神经元大多能维持高幅度的动作电位,而投射至杏仁核中央核CeA的神经元则主要表现为显著的DB特征。

Neuron丨从光到行为:解密前额叶与丘脑的“电流对话”(图4)

  研究人员在自由活动的大鼠中结合使用光遗传学和单一单位记录技术以研究PL输入的高频光激活是否能调节aPVT神经元的发放率。他们在PL中注射病毒,使光激活阳离子通道在PL神经元中表达,并在aPVT中植入光电极以记录aPVT神经元的发放率。结果显示,PL输入的高频(30 Hz)光激活显著减少了aPVT神经元的平均发放概率,而低频(3 Hz和10 Hz)光激活对发放率无显著影响。部分aPVT神经元在低频光激活时稳定响应,但在高频时发放率降低,而另一部分神经元则在高频光激活时表现出高峰值发放。此外,研究还表明高频光激活可能通过招募来自avTRN神经元的前馈GABA能抑制,减少了aPVT神经元的尖峰幅度。然而,化学遗传学失活avTRN神经元的实验结果表明,限制aPVT神经元最大九游app发放率的可能是其内在机制,而非来自avTRN的抑制。

Neuron丨从光到行为:解密前额叶与丘脑的“电流对话”(图5)

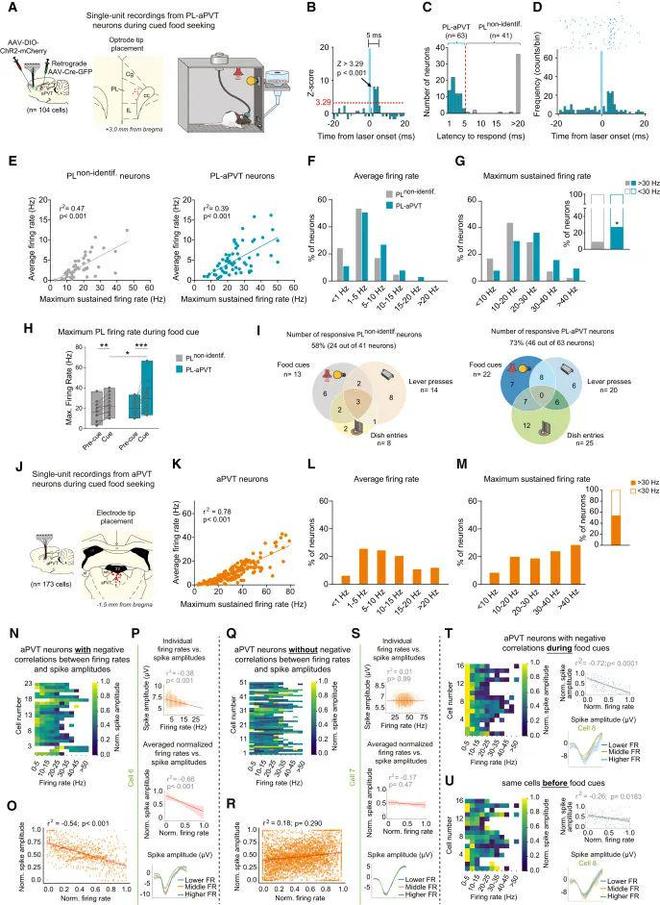
  为了测试投射到aPVT的PL神经元在自由活动大鼠中是否能够维持高频发放率,研究人员在大鼠的aPVT注射了病毒载体,使Cre重组酶在PL中逆行表达,然后在PL中注射Cre依赖性病毒载体,使光激活阳离子通道ChR2在PL神经元中表达,然后他们在PL深层植入光电极用于光遗传学识别PL-aPVT神经元。记录结果显示,在104个记录的PL细胞中,63个神经元对激光照射表现出短潜伏期(5毫秒)和高峰值可靠性,并归类为PL-aPVT神经元;而41个神经元则表现出长潜伏期(5毫秒)或对激光照射无反应,则被归类为未识别的PL神经元。研究结果显示,PL-aPVT神经元能够在至少1秒内维持高频活动(30 Hz),并且在食物提示测试中表现出显著更高的最大发放率。这表明PL神经元能够达到高发放率,从而迅速招募aPVT神经元在体内产生高发放活动,部分aPVT细胞可能因此进入去极化阻滞DB状态。

Neuron丨从光到行为:解密前额叶与丘脑的“电流对话”(图6)

  图5 在食物线索出现时,PL-aPVT神经元和aPVT神经元的一个子集显示出高频率的发射率

  最后,研究人员使用大鼠的条件性躲避实验探讨了PL对aPVT神经元在频率依赖下对主动回避反应的调节。他们首先将AAV-CaMKII-ChR2-eYFP病毒注射到PL区域,在aPVT中植入光纤,以在不同频率下光激活PL输入。大鼠被训练进行条件性躲避实验,即在听到声音提示时,通过移动到实验箱的另一侧来避免电击。训练完成后,大鼠进入测试阶段,在三天内分别以3 Hz、10 Hz和30 Hz的频率光激活PL-aPVT投射。实验记录了大鼠在声音提示和电击开始之间的反应时间,重点关注躲避和逃避反应的潜伏期。结果显示,在10 Hz光激活时,大鼠的躲避和逃避反应潜伏期显著增加,而在3 Hz和30 Hz频率下没有显著变化。这表明PL-aPVT路径的活动以频率依赖的方式调节条件回避反应,10 Hz光激活可能提高aPVT的发放率,从而削弱回避反应,而30 Hz光激活可能导致去极化阻滞DB,从而减少回避受损。这些实验进一步说明了PL对aPVT神经元的输入在频率依赖下可以调节动物的主动回避行为。

Neuron丨从光到行为:解密前额叶与丘脑的“电流对话”(图7)

  图6 对aPVT神经元的PL输入以频率依赖的方式调节主动回避和寻食,并受avTRN活性的调控

  这项研究深入探究了前边缘皮质(PL)到室旁核(aPVT)神经元的皮层丘脑通路的功能特性,揭示了这些通路在调节行为方面的复杂机制。研究发现,PL输入可以通过频率依赖的方式调节aPVT神经元的发放率,并且这种调节作用对条件性回避和食物寻求行为有显著影响。特别是,10 Hz的光激活会增加aPVT神经元的发放率,从而削弱回避反应,而30 Hz的光激活则可能导致aPVT神经元进入去极化阻滞状态。未来的研究可以进一步深入探讨PL-aPVT通路在其他行为调节中的作用,以及开发基于这些发现的新的神经调控策略,以治疗相关的神经精神疾病。

  广东初二男孩被5名同学围殴,父亲抡起铁棍将其中一名活活打死,判决结果出来后,网友不淡九游app定了…

  广东一女子穿新买的连体泳衣游泳后走光,商家却说:系海边度假泳衣,只能下水拍照

  推力杆数据矛盾!印度航空 171:2 个燃油开关 3 秒关停,谁动了手脚

  ASML技术官罕见发言:我们警告了美国7年,美国最终还是用7年的时间,培养了一个砸掉我们饭碗的对手

  《指环王》导演投资复活灭绝600年巨型恐鸟,高3.6米、重230公斤、不会飞有利爪,专家警告:极其危险!